
毛囊是由毛母细胞组成,目前任何能促进毛囊发育的药物本质上都是促进毛母细胞的分裂——比如米诺地尔,它能直接促进毛囊上皮细胞的分裂和增殖。
一直以来对促进生发药物的研究也是朝着这个方向来的,本月6日,韩国的研究人员宣布,一种能促进毛囊生长的全新、安全的分子物质被发现了。

这是一种新合成的分子物质,IM176OUT05,简称IM。
We previously demonstrated that optimized subtoxic doses of canonical mitochondrial inhibitors can fuel reprogramming to pluripotency by facilitating the glycolytic metabolic transition during iPSC generation。 Thus, we hypothesized that these inhibitors that could activate stemness and glycolytic reprogramming facilitate the cycle of hair follicle regeneration。 However, mitochondrial inhibitors, such as rotenone, 2-thenoyltrifluoroacetone (TTFA), antimycin A, and potassium cyanide (KCN) (specific inhibitors of the electron transport chain (ETC)), oligomycin A (a direct ATP synthase inhibitor), and carbonyl cyanide 4-(trifluoromethoxy) phenylhydrazone (FCCP; an uncoupler), are all toxic materials。 Therefore, we newly synthesized a novel and safe small molecule that could inhibit mitochondrial function for further therapeutic applications。
大意:在此前的试验中我们已经证明了线粒体异质结可以通过促进糖酵解代谢的转变,来推动重编程到多能性。所以我们假设这些抑制剂能够促进毛囊再生的周期,但由于……等均为有毒物质,所以我们合成了这种新的安全的小分子,来进行进一步的实验。
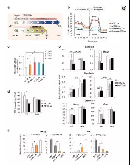
研究人员需要证明自己的假设,他们先对IM是否能促进干细胞多能的获得和维持进行了实验:

IM抑制作用的剂量-反应曲线
实验结果显示,IM能够显著提高重编程效率9.8~8.5倍,并且能在不自我更新的条件下也可以维持胚胎干细胞的未分化状态,即——IM能够促进干细胞多能的获得和维持。
紧接着研究人员在诱导多能干细胞产生的早期检查了IM治疗后细胞的变化,在与对照组对比之后发现,IM不仅提高了重编程效率,还可以在细胞重编程的早期促进糖酵解代谢再编程。

重编程过程的示意图
在证明了这些之后,研究人员开始对IM的毛发再生作用进行了实验,实验对象又是鼠兄:

原谅我再次使用了这个表情包
实验选取了雌雄两组小鼠,分别设置了安慰剂组、1%米诺地尔组,以及不同浓度的IM组进行实验,在浓度为0%、0.1%、0.5%的IM组中,小鼠毛发无明显变化,1%浓度的IM溶液效果强于1%米诺地尔组。比把关呢且在试验中没有在任何一只小鼠身上观察到IM的治疗引起任何的不良反应。

取7周龄小鼠脱毛
在确定了IM确实具有生发这一功能之后,研究人员对IM促进毛发生长的周期进行了检测,结果发现:在第20天时,对照组大部分毛囊在III期,IM组毛囊大部分处于前胶原后期,主要为前胶原V期和VI期,米诺地尔组及IM组的毛发数量均大于对照组。

脱毛后第0天和第20天各组小鼠皮肤H&;E染色纵向切片的代表图像

第7天各组小鼠皮肤中K15、β-catenin和Ki 67的免疫组织化学染色示意图
研究人员还对染色后再生早期的干细胞代谢先关基因和毛囊再生先关基因的表达进行了统计,并在下方分析了与新陈代谢和毛发再生相关的基因在每只小鼠皮肤组织中的表达情况,结果表明,在第20天,IM组和米诺地尔组均对毛囊生长有着明显额加速作用,但在第7天时,IM组的效果明显优于米诺地尔组:

IM刺激头发再生早期干细胞代谢相关基因和毛囊再生相关基因的表达
最后研究人员得出结论:IM具有被应用于改善脱发的意义,但想应用到人体上仍然需要大量的实验证明。
除此之外,研究人员在耳朵穿孔试验中测试了IM对组织再生的影响,结果显示,IM有效的减少了伤口面积,因此IM也被认为有可能具有激活除毛发之外的其他组织再生的功效。当然这个与本文无关,老张就不在多提了。
面对脱发,除了植发之外,我们仍然需要一些较基本的方案,比如拯救原生的毛囊,但非那雄胺和米诺地尔的副作用让很多人望而却步,虽然IM还没有进行对人的实验,但从这篇文献的实验结果来看,效果依然值得我们去期待,并不妨碍它成为下一个改善脱发的备选题。