眉毛移植的价格是多少?很多爱美的人,为了解决眉型缺陷或眉形不好看等问题,会选择做眉毛移植手术。眉毛移植的价格一直是许多美容爱好者关注的焦点。因此,了解眉毛移植的价格是非常必要的。现在让我们来看看。

眉毛移植的价格是多少?
关于眉毛移植的费用,眉毛移植专家表示,眉毛移植的费用并不是和植发一样按照毛囊单价收取的。眉毛移植是按位置收费。由于眉毛的种植更加精细,对植发医生的技术要求也更高。植发医生需要技术熟练,保证毛囊成活率高。因此,眉毛移植的费用相比植发的费用更贵。

眉毛移植的价格也与眉毛移植的技术有很大的关系。不同的眉毛移植技术,眉毛移植价格也会有所不同。目前,无痕植发技术受到广大朋友们的青睐。由于无痕植发技术采用的是精细毛囊器械,该毛囊提取装置直径小,对皮肤和毛囊的损伤小,大大提高了毛囊的存活率,手术成功率达到100%,毛囊的存活率超过95%。眉毛移植不需要开刀手术,手术中不会留下疤痕。
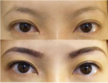
眉毛移植手术效果好吗
植发专家指出由于眉毛移植的方法各不相同,而且术后的效果也不同,价格也不同。采用先进的眉毛移植技术,眉毛移植效果更接近自然生长状态,操作更精准严谨,效果自然美观。
以上就是关于“眉毛移植的价格是多少?”的相关介绍,如果还有什么不了解的可以点击在线咨询了解,眉毛移植手术一定要选择一家正规专业的植发机构,术后效果更有保障。dm